En artículos anteriores hemos hablado sobre la importancia de la salud bucal y de cuidar los dientes diariamente, también hemos tratado el tema del miedo que la mayoría de las personas tiene de ir al dentista, pero ahora trataremos cómo los problemas en la dentadura también pueden causar problemas en el resto del organismo.
De acuerdo al medio alemán DW, “la influencia de la salud dental en otras áreas va desde dolores en las articulaciones hasta tinnitus y problemas cardíacos. Las enfermedades dentales pueden provocar también alergias y reuma”.
“La interacción con la diabetes es la más significante. El sistema inmunitario de un diabético está debilitado, por lo cual es fácil para las bacterias asentarse en la cavidad bucal. Las enfermedades dentales y la diabetes pueden incluso reforzarse mutuamente”, asegura Roland Frankenberger, de la Policlínica para la Conservación Dental, de la Universidad de Marburgo.
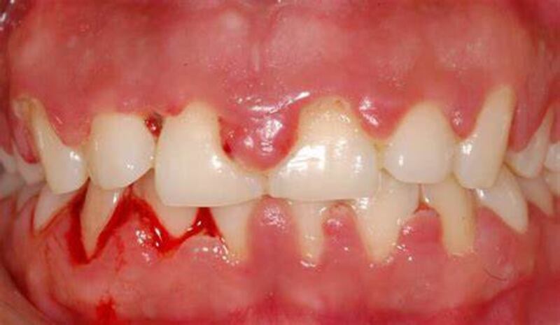
“Al tener una periodontitis medianamente grave, hay una herida abierta en la cavidad bucal, tan grande como la palma de una mano”, explica Frankenberger, agregando que “Si alguien tuviera una herida así en la espalda, el médico la detectaría mucho más rápidamente y la trataría de la manera adecuada”.

Por ejemplo, cuando alguien tiene una herida en la espalda por haber estado demasiado tiempo acostado, se forma allí una entrada ideal para bacterias, que es vista de inmediato por los médicos, añade. Pero en la boca, eso es distinto, dice el especialista. Allí, al principio no la nota nadie.

Otra consecuencia importante de los dientes enfermos es que las bacterias pueden llegar hasta la sangre, penetrar en el corazón y, desde allí, por ejemplo, provocar una endocarditis, una inflamación del músculo cardíaco.
Es decir que una periodontitis es mucho más que solo encías sangrantes.
— Roland Frankenberger
